INTES BOHEMIA s.r.o.  >  Patologie
  • HistoStar - zalévací linka

    HistoStar - zalévací linka

    HistoStar je ergonomicky navržená a pečlivě zpracovaná linka pro zalévání tkání sestávající ze dvou oddělitelných modulů, zalévacího a chladícího.

Barvící roztoky


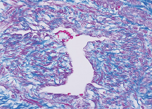
  • Richard-Allan Gomoris Trichrome (Blue Collagen)
  • Richard-Allan Gomoris Trichrome (Blue Collagen)

    Katalogové číslo: 87021
    Výrobce: Richard-Allan Scientific
    Velikost balení: 1 ks
  • Barvivo podobné Massonovu trichromu, s menší časovou náročností
  • Používá se ke studiu nemocí pojivové tkáně a svalů spojených s fibrotickými a dystrofickými změnami
  • Kolagen je zbarven modře, cytoplazma a svalová vlákna červeně a jádra modře až černě

 

Produktový kód

Popis

87021

Gomoris Trichrome (Green Collagen) stain kit

Komponenty

88028

Weigerts Iron Hematoxylin part A, 500 ml

88029

Weigerts Iron Hematoxylin part B, 500 ml

88031

Gomoris Trichrome stain solution, Green Collagen, 500 ml

88038

Bouins Fluid, 500 ml

88039

1% Acetic Acid solution, 500 ml

 


ZPĚT NA VÝPIS